ガタつきも、すきっ歯も、変色
クイックビューティべニア
瞬間リセット

〒330-0063 埼玉県さいたま市浦和区高砂2-6-10
柳屋ビル2F

歯の白さ・歯並びでお悩みのかたは
浦和もちまる歯科・矯正歯科クリニック
までご相談ください

無料
カウンセリング
実施中

COUNSELING

無料カウンセリングで
行っていること

  • お口の状態を確認し、見た目や歯並びのバランスを丁寧にチェック
  • 治療の流れや通院回数、費用についてわかりやすくご説明
  • 従来のラミネートべニア治療との違いや特徴についてご説明
  • 似た症例のビフォーアフターをご紹介し、仕上がりのイメージをご共有

※別途保険代金がかかる場合がございます。

TROUBLE

このようなお悩みはありませんか

歯を削らずに
見た目を整えたい

前歯のすき間や
形が気になる

歯の色と形を同時に
キレイにしたい

テトラサイクリン歯など
の変色を改善したい

元の歯の色に戻せる
治療法を選びたい

通院回数を抑えて、
短期間で口もとを
キレイにしたい

結婚式や就職活動など、
大切なイベントまでに
整えたい

矯正で歯並びを
整えたけど歯の形が
気になる

このようなお悩みを
お持ちのかたは
クイックビューティべニア
解決できます

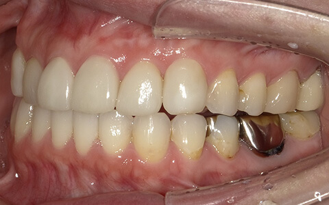
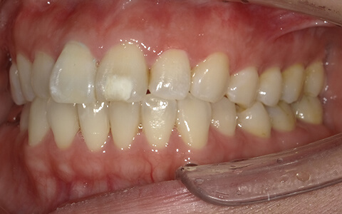
主訴:左上1番のエナメル質形成不全が目立ってしまい気になる。右上1番にも端に白濁があり、2本をまわりの歯と調和するように削らないで治したい。前歯のガタガタが気になる。
治療内容:クイックビューティべニア
治療期間:2~3回
治療費用:[検査代]38,500円+[べニア代]78,000円×2本(156,000円)の[合計]194,500円(税込213,950円)
リスク・副作用:装着直後に軽い違和感や発音のしづらさを感じる場合がありますが、数日~1週間程度で慣れます。

主訴:前歯が大きくて目立ち、ガタつきもある。右上前歯を神経を抜く治療をしたので、グレーに変色しはじめている。歯を削らずホワイトニングをしたような自然である中でかなり白い歯にしたい。
治療内容:クイックビューティべニア
治療期間:2~3回
治療費用:[検査代]38,500円+[べニア代]78,000円×6本(468,000円)の[合計]506,500円(税込557,150円)
リスク・副作用:装着直後に軽い違和感や発音のしづらさを感じる場合がありますが、数日~1週間程度で慣れます。

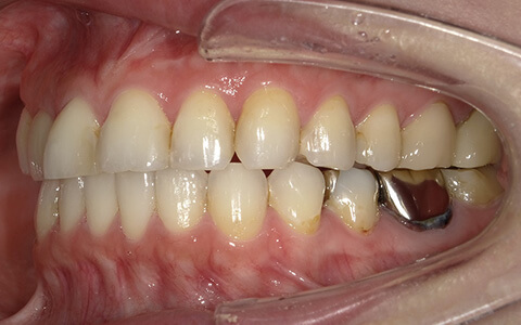
主訴:上の歯の歯並びのガタガタを直したい。コンポジットレジンでむ歯治療している部分(右上1.3.左上1.2.3)が黄ばんでいるので、ずっと色が変わらない素材で削らずに治したい。右上2番目だけセラミックの被せ物をしているので、その歯を外さずに馴染むよう作って欲しい。
治療内容:クイックビューティべニア
治療期間:2~3回
治療費用:[検査代]38,500円+[べニア代]78,000円×5本(390,000円)の[合計]428,500円(税込471,350円)
リスク・副作用:装着直後に軽い違和感や発音のしづらさを感じる場合がありますが、数日~1週間程度で慣れます。

ABOUT

クイックビューティべニアとは

削らず・気づかれず・
美しく整う口元の印象を変える
新発想のべニア治療

削らない・気づかれない・美しく整う
口元の印象を変える新発想のべニア治療

クイックビューティべニアとは、歯の表面に極薄のシェル状パーツを装着し、歯の色や形を美しく整えるラミネートべニア治療の一種です。国内でも有数の歯科技工士による改良により、従来よりも削る量を抑えた自然な仕上がりを実現しています。材質にもこだわり、透明感のある美しい口元を手軽に目指せる治療法として注目されています。

クイックビューティべニアは
なぜ歯を削らずに治療が可能なのか?

Beautiful

極薄設計のべニアでカバー

クイックビューティべニアは、わずか0.3〜0.5mmの極薄設計により、歯の表面を削ることなく装着できる審美治療です。素材の厚みをできる限り抑えることで、天然歯を削ることなく美しい仕上がりを実現することができます。歯へのダメージを避けたいかたや、自然な見た目を大切にしたいかたに適した治療法です。

COMPARISON 治療別・削除量の比較

クイックビューティべニア

ラミネートべニア治療

クラウン

Cosmetic

歯並びや噛み合わせを
大きく動かす治療ではない

クイックビューティべニアは、歯の色や形、すき間など見た目を整えることを目的とした審美治療です。歯列矯正のように歯を動かす治療ではないため、噛み合わせの大幅な調整が不要で、歯を削る必要がありません。歯質への負担を抑えながら、自然な美しさを短期間で目指せる点が特徴です。

Beautiful

新素材・技工技術の進化により
接着力が向上

クイックビューティべニアは、国内でも有数の歯科技工士が精密に製作し、歯にぴったりと適合するため、歯を削らなくても自然に密着します。さらに、接着材や素材の進化により強度と安定性が向上し、美しく自然な仕上がりを実現しています。高度な技工技術があるからこそ、削らずに行える審美治療が可能になりました。

MERIT クイックビューティべニアのメリット

理想の色調が選べる

ホワイトニングカラーなど、明るさや白さの度合いを細かく調整できるため、肌の色や顔立ちに調和した、自分にぴったりの自然な歯の色味が選べます。

歯を削合しない

歯を削らずに装着できるため、天然歯を傷つけずに美しい口元を目指せる身体にやさしい治療法です。

歯並びも同時に改善できる

軽度のすき間や傾きであれば、歯を動かさずに形を整えることで、見た目の歯並びも自然に整えられます。

治療回数を抑えられる

歯を削る必要がなく工程もシンプルなため、治療回数を抑えることが可能です。忙しいかたやイベント前に短期間で口元を整えたいかたにも適した治療です。

自然な色と形の美しさ

透明感やツヤのある素材と精密な技工技術により、まるで本物の歯のような自然な色合いと形に仕上がります。顔立ちや口元のバランスに合わせた調整も可能です。

COMPARISON

クイックビューティべニアと
他の治療の比較

種類 クイックビューティ
べニア
韓国製
商品A
韓国製
商品B
価格 安価で始めやすい 高額になりやすい 高額
耐久性 高い 低い 低い
生産国 国内生産で高品質 韓国製 韓国製
治療期間 短期間で治療が可能 数週間~1ヵ月 数週間
材質 高品質の独自素材 セラミック セラミック

歯の白さ・歯並びでお悩みのかたは
浦和もちまる歯科・矯正歯科クリニック
までご相談ください

無料
カウンセリング
実施中

COUNSELING

無料カウンセリングで
行っていること

  • お口の状態を確認し、見た目や歯並びのバランスを丁寧にチェック
  • 治療の流れや通院回数、費用についてわかりやすくご説明
  • 従来のラミネートべニア治療との違いや特徴についてご説明
  • 似た症例のビフォーアフターをご紹介し、仕上がりのイメージをご共有

※別途保険代金がかかる場合がございます。

SUPPORT

シークレットカバーも人気

取り外し可能で安価に
作製ができる

シークレットカバーも人気です

前歯6本にぴったりとはまる、取り外し可能なカバーです。安価で作製でき、撮影やイベントなど大切な場面での見た目を一時的に整えることができます。子役やモデルのかたの撮影用、結婚式や成人式の前撮りにも人気です。歯が抜けてしまっても安心して笑えるサポートアイテムとして、ご好評いただいています。

MOCHIMARU

FEATURE

当院の特徴

01

国産だからこそ実現できた
高品質×低価格の
クイックビューティべニア

当院では、国産の高品質な素材を使用したクイックビューティべニアをお求めやすい価格でご提供しており、費用を抑えながらも自然な仕上がりと丁寧な技工にこだわった治療が可能です。審美治療をもっと身近に、もっと気軽に受けていただけるよう、安心の価格設定で理想の口元づくりをサポートいたします。

Feature

新感覚の
べニア治療
クイックビューティべニア
118,800円(税込)/本

+最終的な歯の形や色を確認するための
仮歯(モックアップ)費用が
かかります(38,500円)

02

TREATMENT

信頼できる国内技工士との連携で
より美しく・より安心の治療を実現

信頼できる国内技工士との
連携でより美しく・
より安心の治療を実現

クイックビューティべニアに精通した国内の歯科技工所と提携し、すべての製作を国内で行っています。主に海外で生産されるベニア製品とは異なり高い技術を持つ歯科技工士が対応するため、精度の高い仕上がりと短納期を両立しています。国内で生産するため輸送のリスクもなく、より安心・安全な治療を提供しています。

Feature

高品質・高信頼の
国内生産

歯科技工所
との連携

圧倒的な
スピード感

03

DIGITAL

口腔内スキャナー(iTero)で
フィットする、
美しい仕上がりへ

より美しく精密な仕上がりを実現するために口腔内スキャナー(iTero)を導入しています。非常に高い精度で歯の形状を読み取ることができ、わずかな凹凸や噛み合わせのバランスまで正確に再現します。スキャンしたデータをその場で3D画像として確認できるため、治療内容をわかりやすく理解でき、安心して治療を受けていただけます。

Feature

04

SUPPORT

総合歯科医院として
お口全体をトータルサポート

当院は、クイックビューティべニアをはじめとする審美治療に加え、むし歯や歯周病の治療、予防・メンテナンス、ホワイトニングや矯正治療などにも幅広く対応しています。総合歯科医院だからこそ、お口全体の健康を見据えたトータルケアが可能です。見た目だけでなく、噛み合わせや機能面にも配慮した治療をご提案しています。

Feature

むし歯・歯周病

予防・
メンテナンス

ホワイトニング

矯正治療

05

COUNSELING

治療前の不安を解消する、
わかりやすく
丁寧なカウンセリング

クイックビューティべニアをご検討中のかたに無料カウンセリングを実施しています。治療内容や期間、費用についてわかりやすくご説明し、ご納得いただいたうえで治療を進めることを大切にしています。丁寧な対話と説明で、患者さんが安心して治療に臨めるようサポートいたします。初めてのかたもお気軽にご相談ください。
※別途保険代金がかかる場合がございます。

Feature

06

ENVIRONMENT

お子さんと一緒でも安心
通いやすさにもこだわっています

当院は、浦和駅から徒歩4分・日曜日も診療対応と、忙しいかたでも通いやすい環境を整えています。キッズコーナーやファミリールームをご用意し、保育園園医としての経験を活かしながら、お子さん連れでも安心して過ごせる工夫を行っています。審美治療だけでなく、ご家族皆さんで安心して通っていただける歯科医院を目指しています。

Feature

キッズスペース

ファミリールーム

さいたま市保育園医

CASE

症例紹介

削らず叶う、
クイックビューティべニアの
美しさをご紹介

「歯を削るのが怖い」「短期間で見た目を整えたい」そんなかたに選ばれている審美治療です。クイックビューティべニアなら、自然な白さと歯並びを同時に実現できます。下記に実際の症例を掲載していますので、ぜひご確認ください。

- CASE 01 -

Before

Before

After

After
主訴、治療詳細 左上1番のエナメル質形成不全が目立ってしまい気になる。右上1番にも端に白濁があり、2本をまわりの歯と調和するように削らないで治したい。との要望からクイックビューティべニアによる治療を行った。前歯のガタガタが気になる。
治療期間 2~3回
治療費用 [検査代]38,500円+[べニア代]78,000円×2本(156,000円)の[合計]194,500円
(税込213,950円)
リスク・副作用 装着直後に軽い違和感や発音のしづらさを感じる場合がありますが、数日~1週間程度で慣れます。

- CASE 02 -

Before

Before

After

After
主訴、治療詳細 前歯が大きくて目立ち、ガタつきもある。右上前歯を神経を抜く治療をしたので、グレーに変色しはじめている。歯を削らずホワイトニングをしたような自然である中でかなり白い歯にしたい。との要望からクイックビューティべニアによる治療を行った。
治療期間 2~3回
治療費用 [検査代]38,500円+[べニア代]78,000円×6本(468,000円)の[合計]506,500円
(税込557,150円)
リスク・副作用 装着直後に軽い違和感や発音のしづらさを感じる場合がありますが、数日~1週間程度で慣れます。

- CASE 03 -

Before

Before

After

After
主訴、治療詳細 上の歯の歯並びのガタガタを直したい。コンポジットレジンでむ歯治療している部分(右上1.3.左上1.2.3)が黄ばんでいるので、ずっと色が変わらない素材で削らずに治したい。右上2番目だけセラミックの被せ物をしているので、その歯を外さずに馴染むよう作って欲しい。との要望からクイックビューティべニアによる治療を行った。
治療期間 2~3回
治療費用 [検査代]38,500円+[べニア代]78,000円×5本(390,000円)の[合計]428,500円
(税込471,350円)
リスク・副作用 装着直後に軽い違和感や発音のしづらさを感じる場合がありますが、数日~1週間程度で慣れます。

PRICE

モニター価格

お写真へのご協力でお得に体験特別
モニター価格をご用意しています!

現在、クイックビューティべニアの施術を通常よりもお得に受けていただけるモニター価格プランをご案内しています。対象は、お顔や口元のお写真撮影にご協力いただけるかたとなります。撮影したお写真は施術例として使用しますが、お名前や個人が特定される情報は一切掲載いたしません。ご希望のかたはお気軽にお問い合わせください。

クイックビューティべニアを
ご検討のかたは
ぜひ、浦和もちまる歯科・
矯正歯科クリニック

までお気軽にご相談ください

歯の白さ・歯並びでお悩みのかたは
浦和もちまる歯科・矯正歯科クリニック
までご相談ください

無料
カウンセリング
実施中

COUNSELING

無料カウンセリングで
行っていること

  • お口の状態を確認し、見た目や歯並びのバランスを丁寧にチェック
  • 治療の流れや通院回数、費用についてわかりやすくご説明
  • 従来のラミネートべニア治療との違いや特徴についてご説明
  • 似た症例のビフォーアフターをご紹介し、仕上がりのイメージをご共有

※別途保険代金がかかる場合がございます。

FLOW

クイックビューティべニア治療
の流れ

01 カウンセリング

まずはお悩みや理想の口元について丁寧にカウンセリングいたします。治療内容・期間・費用などもわかりやすくご説明し、ご納得いただいたうえで治療を進められるよう心がけています。無料相談も承っておりますので、お気軽にご相談ください。
※別途保険代金がかかる場合がございます。

02 写真・型取り

理想の仕上がりをシミュレーションするために、お顔や口元の写真撮影と口腔内スキャナーを使用して歯型の採取を行います。印象剤は使用しないため、嚥下反応の心配もございません。歯の色や形、バランスを正確に確認し、自然で美しい見た目になるよう丁寧に設計します。緊張なさらず、リラックスしてお受けください。 

03 仮合わせ・シミュレーション

製作したべニアを装着前に仮合わせし、色味や形、歯並びのバランスをシミュレーションします。実際の見た目を確認しながら、必要があれば細かな調整も可能です。ご自身の目で仕上がりを確認してから進められるため、安心して治療に臨んでいただけます。

04 貼り付け位置の決定・装着

仮合わせで確認した情報をもとに、実際にべニアを貼り付ける位置を正確に決定します。歯のラインや唇とのバランスを考慮しながら、自然で美しく見える位置を一緒に確認し装着します。細部までこだわることで、違和感のない仕上がりを目指します。

05 アフターフォロー

クイックビューティべニアの装着後も、違和感や仕上がりの状態を丁寧に確認し、必要に応じて微調整を行います。また、美しい口元を長く保つためのメンテナンス方法についても、わかりやすくご案内いたします。治療後も安心して過ごしていただけるよう、いつでもご相談いただける体制を整えていますので、お気軽にお問い合わせください。

お急ぎのかたにおすすめ
短期間で理想の口元を目指せます

クイックビューティべニアは、最短2回のご来院で治療が可能です。仮歯のシミュレーション画像はオンラインでご確認いただけるため、通院の手間を抑えることができます。メールでご承諾をいただければ、その時点で製作を進めることができます。結婚式や就職活動など、限られた期間で口元を整えたいかたにもおすすめです。

FEE

費用

精密検査・診断料 38,500円
クイックビューティべニア 118,800円

※表示金額は全て税込みです

お支払方法

当院では、下記のお支払いに対応しています。

現金

現金

クレジットカード

クレジットカード

デンタルローン

デンタルローン

デンタルローンでの
お支払いについて

クイックビューティべニアは他の治療と比較しても高額な治療費が必要となりますので、デンタルローンをご利用いただくことで患者さんの金銭的負担も少なく安心して治療を受けていただくことが可能です。デンタルローンを使用した場合でも医療費控除の対象となりますので、詳しくはスタッフまでご相談ください。

デンタルローンでのお支払い例

月々5,100円(税込)
で始められます

※初回のお支払のみ、5,503円(税込)となります。
※治療費118,800円のクイックビューティべニア24回の分割払いでのお支払いいただく場合の例となります。

医療費控除制度について

生計を共にするご家族やご自身の病気やケガなどの事由で医療費の支払いがあった場合、確定申告によって一定金額の所得控除を受けることが可能です。年間の医療費の合計が10万円を超える場合が適用となります。

注意点・リスク・副作用

・装着直後に軽い違和感や発音のしづらさを感じる場合がありますが、数日~1週間程度で慣れます。
・治療後の仕上がりには個人差があり、わずかな見た目の違いに敏感なかたは再調整が必要になることもあります。
・日常生活において極端に硬いものを噛んだり、歯ぎしりや食いしばりがある場合は、破損や脱離のリスクが高まります。
・歯や歯ぐきの状態により、予定していた治療方針を変更する可能性があります。
・審美目的の治療のため、経年的な変化や生活習慣により変色や劣化が起こることがあります。
・取り外しは可能ですが、接着後の剥離時には歯の表面に影響が出る可能性があります。

GREETING

ご挨拶

持丸みずき

歯を削らないという新発想のべニア治療
自分らしく輝ける口元を実現しませんか?

このたびは、浦和もちまる歯科・矯正歯科クリニックのクイックビューティーベニアページをご覧いただきありがとうございます。
当院では、歯を削らずに見た目を美しく整える「クイックビューティべニア」を導入いたしました。侵襲を限りなく少なくして歯の健康を維持できる審美治療として、結婚式や就職活動など大切なご予定を控えたかたにも多く選ばれています。
「歯を削るのは不安」「治療期間をなるべく短くしたい」といったお悩みをお持ちのかたに、安心して受けていただけるよう、丁寧なカウンセリングとわかりやすい説明を大切にしています。
初めてのかたにもリラックスしてご相談いただけるよう、個室診療室やキッズスペース、土日診療など、通いやすい環境づくりにも力を入れています。「クイックビューティべニア」は見た目の美しさだけでなく、歯を守るという観点からも価値のある治療です。ご興味のあるかたは、どうぞお気軽にご相談ください。スタッフ一同、あなたの笑顔をサポートいたします。

院長 持丸みずき Mizuki Mochimaru

略歴

  • 2月3日浦和で誕生
  • 聖フランソア幼稚園 卒園
  • さいたま市立大東小学校 卒業
  • 埼玉県立大宮高校 卒業
  • 上智大学 卒業
  • 昭和大学歯学部 卒業
  • 昭和大学歯科病院にて臨床研修終了
  • 県内のインプラントセンター 勤務
  • 都内医療法人の分院長
  • 浦和もちまる歯科・矯正歯科クリニック 開業
  • 医療法人社団博結会 理事長 就任

資格・所属学会

  • 国際口腔インプラント学会認定医
  • ISOI会員
  • 日本口腔インプラント学会 会員
  • 国際医療リスクマネージメント学会
  • 日本成人矯正歯科学会 認定医研修 修了
  • 日本成人矯正歯科学会認定医
  • 日本舌側矯正学会 正会員
  • インビザライン矯正認定医
  • インビザラインプラチナプロバイダー受賞
  • インビザラインプラチナエリートプロバイダー受賞
  • インビザラインダイヤモンドプロバイダー受賞
  • Aso Aligner認定医
  • 日本アライナー医療研究会
  • MISS UNIVERSE JAPAN 2020 審査員
  • BEST OF MISS JAPAN 2020 審査員
  • MISS UNIVERSITY 2020 審査員

CLINIC

医院紹介

〒330-0063 埼玉県さいたま市浦和区高砂2-6-10
柳屋ビル2F

診療時間
9:30~13:30
15:00~18:30

休診日:祝日
△:土曜日・日曜日の午後診療は~18:00までとなります。
※最終受付…平日:18:00/土曜日・日曜日:17:30

アクセス詳細

お車 お車でお越しのかたへ

クリニック近隣の駐車場をご利用ください。徒歩2分圏内に10軒以上ございます。

周辺駐車場

公共交通機関 公共交通機関をご利用の場合

浦和駅より徒歩4分

QA

よくあるご質問

Q

本当に歯を削りませんか?

A

クイックビューティべニアは、0.3〜0.5mm程度の極薄素材を使用するため、歯を削ることなく装着できます。従来のラミネートべニアやクラウンのように歯を削る必要がなく、歯質を残しながら見た目を整えられる治療法です。歯を削ることに不安があるかたにもおすすめの治療法です。

Q

歯に負担はありませんか?

A

クイックビューティべニアは、歯を削ることなく装着できるため、歯へのダメージを抑えられる治療法です。神経を取る必要もなく、歯の表面に極薄の素材を貼り付けるだけなので、構造的にも比較的歯にやさしい治療法といえます。また、取り外し可能なタイプもあり、歯を削ることに抵抗があるかたや、将来的に元の歯を残しておきたいかたにも適しています。

Q

装置が外れたりしませんか?

A

クイックビューティべニアは、専用の接着剤と精密な技工技術により、しっかりと密着するよう設計されています。極薄でも適合性に優れた素材を使用しているため、通常の生活で外れる心配はほとんどありません。ただし、過度な力が加わる食習慣や歯ぎしりがある場合は、破損や脱離のリスクがあるため、事前にお口の状態を丁寧に確認したうえで治療を行います。

Q

ホワイトニングとどっちがいいですか?

A

目的やお悩みによって適した方法は異なります。歯の黄ばみや着色を自然に明るくしたい場合はホワイトニング、歯の色だけでなく形やすき間、変色歯(テトラサイクリン歯など)もまとめて整えたい場合はクイックビューティべニアがおすすめです。ホワイトニングで思うような白さにならなかったかたにも、べニアは効果的ですので、カウンセリングでご希望を伺いながらご提案いたします。

Q

保険は使えますか?

A

クイックビューティべニアは、審美目的の自由診療となるため、健康保険は適用されません。歯の色や形、すき間などを見た目から整える治療は、保険診療の対象外となります。ただし、事前に治療内容や費用についてしっかりご説明し、ご納得いただいたうえで進めております。分割払いやお支払い方法についてもご相談いただけますので、費用面が気になるかたもお気軽にご相談ください。

歯の白さ・歯並びでお悩みのかたは
浦和もちまる歯科・矯正歯科クリニック
までご相談ください

無料
カウンセリング
実施中

COUNSELING

無料カウンセリングで
行っていること

  • お口の状態を確認し、見た目や歯並びのバランスを丁寧にチェック
  • 治療の流れや通院回数、費用についてわかりやすくご説明
  • 従来のラミネートべニア治療との違いや特徴についてご説明
  • 似た症例のビフォーアフターをご紹介し、仕上がりのイメージをご共有

※別途保険代金がかかる場合がございます。